NorCal Dental Spa | Dentist Carmichael, CA

Dental Information
That May Interest You

Some commonly asked questions or concerns are addressed below. If you have any more questions, Set up an Appointment to talk to your dentist.

a mother and father sitting on a couch on either side of their two young children. they are all looking at a computer tablet

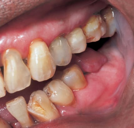
Bruxism

Bruxism, commonly known as "tooth grinding," is the process of clenching together and the grinding of the upper and lower teeth. During sleep, the biting force of clenched jaws can be up to six times greater than during waking hours.

Bruxism can cause complications over the years:

  • Wear down tooth enamel
  • Break fillings or other dental work
  • Worsening of TMJ dysfunction
  • Create jaw pain, toothaches, headaches, or earaches
  • Cause tooth sensitivity
  • Increase tooth mobility
  • Can Chip Teeth

There is no cure for bruxism; however, the condition can be managed. The most common procedure to help to alleviate pain and discomfort is a Nightguard.

Cold Sores

Recurrent Herpes labialis (the common dental term) is a very common viral infection in children and adults. It is caused in most cases by a sub-type of the Herpes Virus, and in most patients it is preceded by an illness (a cold), exposure to sun or exposure to cold. Most patients experience what is known as "prodromic" symptoms such as itching or burning sensation in the area where the blisters soon appear. This information may allow your dentist to recommend therapies that may minimize or eliminate the appearance of the blisters. This infection is usually self limiting and can last up to 14 days before the scabs fall off.

Cold Sores

Dry Mouth

Saliva flow keeps the mouth moist and aids in chewing, swallowing, digestion and speech. Dry mouth is a condition from the lack of normal saliva flow.

Causes of dry mouth:
  • Dehydration
  • Emotional stress
  • Anemia
  • Related to surgery
  • Medical Conditions
  • Medication
  • Allergy
  • Anti-depressant
  • Blood pressure
  • Some mouth washes that are high in alcohol content
Dry mouth symptoms:
  • Mouth feels sticky
  • Lips cracked and dry
  • Tongue may have burning sensation

People who experience dry mouth are at high risk for developing cavities, gum disease and bad breath.

Helping dry mouth:
  • Chewing gum / lozenges
  • Humidifier at night
  • Maintaining good oral hygiene
Dry Mouth

Tobacco

You are probably familiar with the links between tobacco use and lung disease, cancer and cardiovascular disease.

Current studies have also established that tobacco smoking not only causes direct damage to your mouth but also makes periodontal disease more damaging and harder to treat.

There is a greater incidence of calculus formation on teeth, deeper pockets between gums and teeth, more gum recession and more loss of the bone that hold the teeth in your mouth. In addition, smokeless tobacco greatly increases your chance of developing oral cancer. Any tobacco usage can complicate the placement of dental implants.

Chemicals in tobacco such as nicotine, which constricts blood vessels, slow down wound healing.

Other chemicals impair the function of your white blood cells which are your first line of defense against infection. The tars contain carcinogens which over time induce cell mutations and cancers.

Quitting tobacco use will lower the risk of your developing cancer and improve the health of your teeth and gums, as well as your heart and lungs.

Smokeless tobacco poses very serious problems including:

  • Causes tooth decay
  • Eats away your gums
  • Leads to tooth loss
  • Bad Breath
  • Stains your teeth
  • Causes oral sensitivity to hot and cold
  • Decreases sense of taste and smell

If oral cancer is left untreated long enough, it may even cause death.

Tobacco

Vaping

Vaping has been known to cause serious complications linking to oral health, comparable to smoking cigarettes. Similarly to smoking, vaping can cause gum disease, tooth decay and other more serious conditions beyond just the mouth. There have also been situations in which the vape pen itself has exploded causing serious harm to teeth, gums and the lips.

The nicotine found in the vapor can cause restrictions that reduce blood flow, oxygenation, and saliva production. All of these things are needed to help produce and distribute proper nutrients within the body. In turn, these restrictions can lead to periodontal disease, dry mouth, cavities and even tooth loss.

Aside from oral health, when you vape, the vapors that are inhaled contain nicotine, which is highly addictive (as we know with cigarettes), heavy metal particles, and other cancer-causing chemicals. None of the items that were previously listed mix well when inhaled into your lungs. Therefore, damage can occur as well as lung infections, cancer and even an increased risk of heart disease.

close-up shot of someone using a vape-pen