NorCal Dental Spa | Dentist Carmichael, CA

Cosmetic Fillings

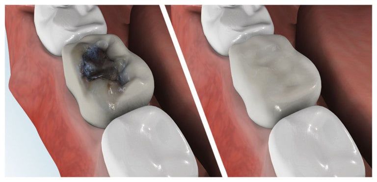
A filling is a way to restore a damaged tooth back to its normal function and shape. When you get a filling, the dentist will remove the decayed material from the tooth, clean the affected area, and then fill the area with a material designed for fillings. There are many types of filling material available, ranging from gold to porcelain.

a man sitting in a dental chair with his mouth open. a curing light used for composite fillings is shining in his mouth

Replacing Old Silver Or Gold Amalgam Fillings

NorCal Dental Spa specializes in beautiful cosmetic dentistry. Metal fillings are often thought of as an eyesore especially with the front teeth that are visible to everyone when you smile. We are able to remove those old metal fillings and replace them with today's white fillings which are nearly identical in color to the teeth that they are in.

Virtually everyone is a candidate to have metal fillings replaced with natural-looking white fillings. Request an appointment online or call our office directly at (916) 863-1854 to discuss replacing your old metal fillings with white ones.

Replacing Old Silver or Gold Amalgam Fillings

Tooth-Colored Fillings

Composite fillings are today's modern filling choice. They are made to match your tooth's natural color to make them virtually invisible to notice and are placed onto the tooth by bonding the filling material to the tooth so they do not have the unlikely chance of falling off. Many patients choose to replace their old silver and gold fillings with composite fillings.

Other Benefits:

  • Beautiful in appearance
  • Completed in a single visit
  • No filling leaks
  • Less chance of tooth cracking
Tooth Colored Fillings